新闻中心

医院动态

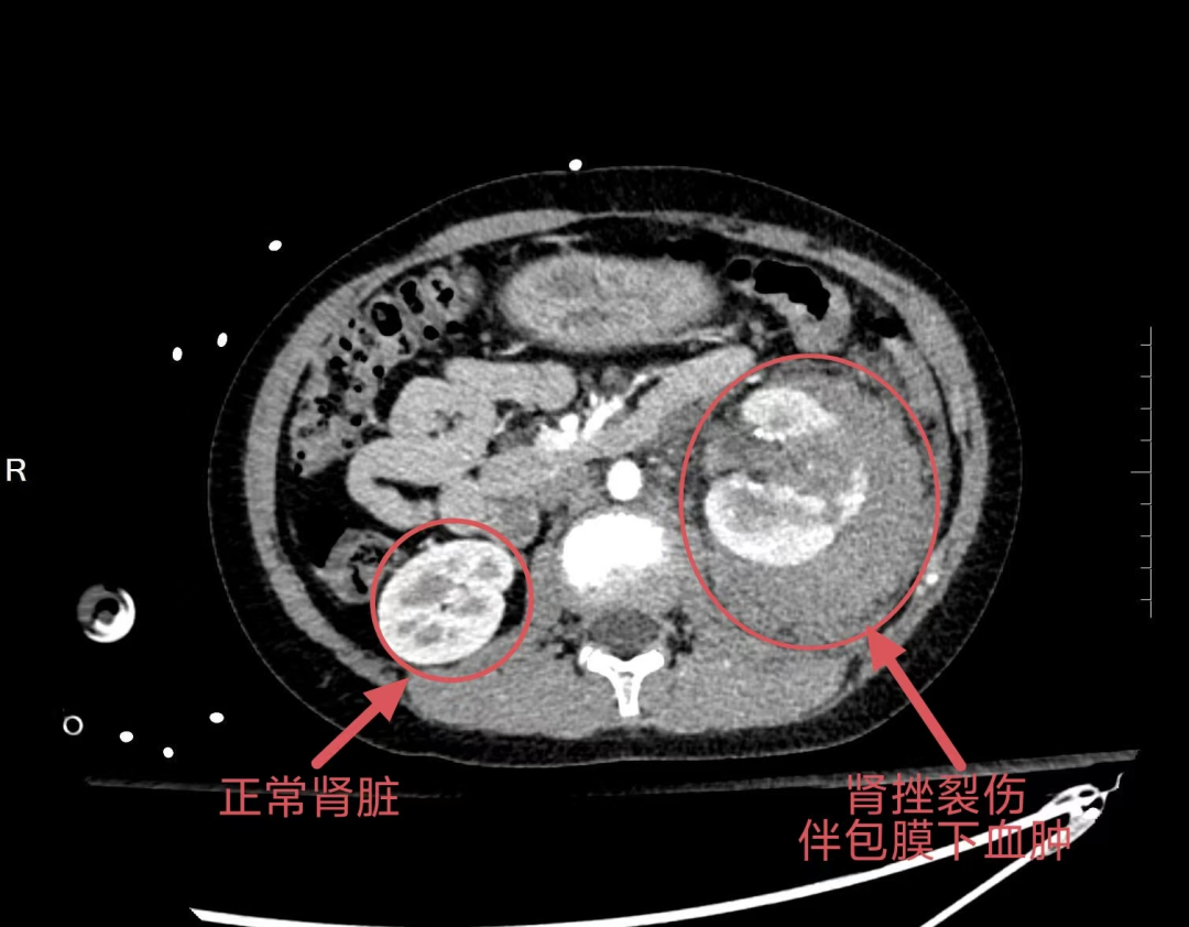
特色技术 | 肾动脉栓塞术,微创介入“一根细针”精准止血保肾脏

发稿时间:2026-04-07 08:39:53 作者:普通管理员

前言:

对于严重肾外伤的患儿及其家庭而言,最令人揪心的莫过于:孩子肾脏重伤大出血,传统治疗可能面临“切肾保命”的残酷抉择。近日,上饶市人民医院介入诊疗科团队成功为一名10岁男童实施了“超选择性肾动脉栓塞术”,仅通过大腿根部一个约2毫米的针孔,精准封堵住破裂的肾动脉分支,在成功控制致命性大出血的同时,完整保住了孩子的左肾,让他免于开刀手术的巨大创伤和失去一个肾脏对未来生活质量的严重影响。

传统疗法的两难抉择

患者为一名10岁男童,因意外受伤导致左背部剧烈疼痛、血尿,被紧急送入我院。CT检查提示:左肾周巨大血肿,活动性出血明确。患儿面色苍白,血压持续下降,血红蛋白急剧降低,生命危在旦夕。

对于儿童严重肾外伤伴活动性出血,传统治疗方案往往面临两难:开刀手术创伤大;保守治疗则无法控制持续出血,死亡率高。孩子才10岁,失去一个肾脏将对他未来生活质量造成巨大影响。

面对这一挑战,我院急诊科、创伤中心、介入诊疗科、泌尿外科迅速启动多学科会诊(MDT)。考虑到患儿年幼、家属保肾意愿强烈,专家团队果断采用超选择性肾动脉栓塞术——一种仅需“针孔”穿刺、无需开刀的微创技术。

肾动脉栓塞术

· 精准:像“精确制导”一样找到出血血管;

· 微创:仅大腿根部2mm穿刺点,不伤及肾脏;

· 保肾:最大限度保留正常肾单位,避免切除;

· 高效:止血立竿见影,术后恢复快。

术中,介入诊疗科主任邹文革及徐志涛主治医生在DSA引导下,将微细导管精准送达左肾破裂的动脉分支,注入明胶海绵颗粒封堵出血点。

术后,患儿仅留一个约2mm的穿刺点,疼痛轻微,生命体征平稳,血红蛋白稳步回升,血尿逐渐清亮,肾功能恢复正常。

新技术,新选择

上饶市人民医院介入诊疗科已常规开展此项技术,累计成功救治数十例肾外伤出血患者(其中儿童5例左右),保肾率达95%以上,尤其为儿童及单肾患者。

科室拥有先进的DSA设备和经验丰富的医师团队,24小时急诊待命,为各类创伤出血、产后大出血、咯血等急危重症患者提供快速、微创的“生命线”救治。